千石で、家族でも
 通える矯正歯科。

女性ドクター/矯正認定医による矯正歯科
歯並びの不安を、やさしく丁寧に。
大人もお子さまも、無理なく始められる矯正治療を。

SCROLL

月々3,000円〜 総額16.5万円〜

メッセージ

女医

千石で通いやすい矯正歯科であるために

矯正は、短期間で終わる治療ではありません。
だからこそ、通いやすさと相談しやすさが大切だと考えています。

  • 気軽に質問できる雰囲気
  • 説明が分かりやすい
  • 生活に合わせた治療の選択肢
  • 治療中も、悩みが増えない配慮

地域の皆さまが、安心して長く通える場所を目指しています。

当院が大切にしていること

01

丁寧に説明し、納得してから進める

診察

矯正の進め方、期間の目安、費用の考え方を、
できるだけかみくだいて説明します。

02

見た目だけでなく、
噛み合わせも重視

治療

歯並びの見た目だけを急いで整えるのではなく、
噛み合わせや将来の安定も見据えます

03

不安を増やさないコミュニケーション

相談

矯正中は小さな疑問や不安が出やすいもの。
相談しやすい空気づくりを大切にしています。

選ばれる理由

01

女性ドクターが担当

1対1のカウンセリング

話しやすさ、相談しやすさを大切にしています。
歯科が苦手な方や、お子さまも安心してご相談ください。
矯正認定医による治療
専門的な知識と経験をもとに、状態に合わせた治療計画をご提案します。

02

大人も子どもも対応

1対2のカウンセリング

お子さまの成長を活かした矯正から、大人の見た目に配慮した矯正まで。
選択肢をしぼらず、合う方法を一緒に考える
装置ありきではなく、生活スタイルやご希望に合わせて一緒に選びます。

こんなお悩みはありませんか?
  • 笑った時の前歯が気になる
  • 写真や人前で口元が気になる
  • 噛み合わせが合わない感じがする
  • 食べ方が偏る、噛みにくい
  • 子どもの歯並び、今のうちにできることを知りたい
  • 目立ちにくい方法があるなら検討したい
  • 費用や期間を先に知って、安心して決めたい

一つでも当てはまる方は、
まずはカウンセリングで状況を整理しましょう。

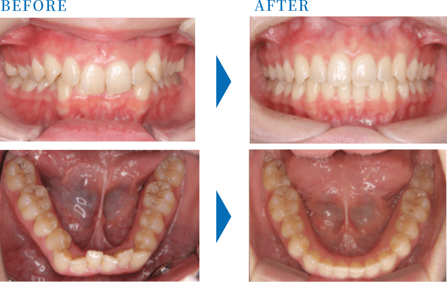
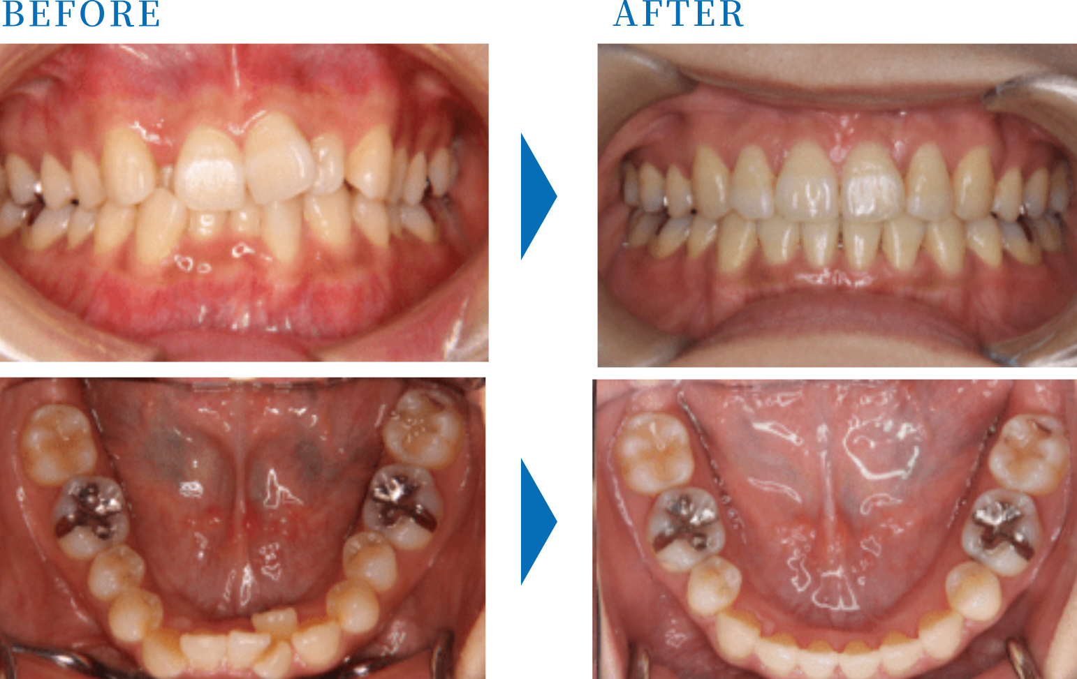
矯正治療で目指せること

ケア
  • 口元の印象が整う
  • 歯磨きがしやすくなりやすい
  • 噛み合わせのバランスが整いやすい
  • 将来に向けたケアがしやすくなる
※感じ方や効果は状態によって異なります。

当院では、メリットだけでなく注意点もあわせてお伝えします。

治療の種類

打ち合わせ
マウスピース矯正
透明で目立ちにくく、取り外しができる矯正です。
お仕事や学校生活への影響を抑えたい方に。
マウスピース矯正
ワイヤー矯正
幅広い症例に対応でき、細かい調整が可能です。
ワイヤー矯正
小児矯正
成長を活かして、歯が並ぶ土台づくりを行います。
将来の矯正負担を減らす目的で行うことがあります。
小児矯正
部分矯正
前歯など、気になる部分だけを整えたい方向けです。
部分矯正

※症例により適応は異なります。
向き不向きを含めて、カウンセリングで丁寧にご説明します。
MFT(口腔筋機能療法)にも取り組んでいます
当院では、小児矯正の一環として
MFT(口腔筋機能療法)を取り入れています。
舌や唇、口まわりの使い方は、歯並びや噛み合わせに大きく関わります。
装置だけに頼らず、お口の癖や使い方から整えることを大切にしています。

  • 口がぽかんと開きやすい
  • 舌の位置が気になる
  • 歯並びが乱れやすい癖がある

このような場合、矯正治療とあわせてMFTを行うことで、
歯並びが安定しやすい環境づくりを目指します。
※すべてのお子さまに行うわけではなく、必要に応じてご案内します。

大人の矯正と子どもの矯正の違い

大人の矯正
見た目への配慮や、仕事や生活への影響を考えながら進めます。
目立ちにくい方法のご相談も可能です。
打ち合わせ
子どもの矯正
成長の力を活かし、歯並びが整いやすい環境をつくります。
今始めるべきか迷う場合も、まずは現状を知るところからで大丈夫です。
子供と打ち合わせ
小児矯正について
子供の矯正
成長期だからこそ、できることがあると考えています

当院では、小児矯正を大切な診療のひとつとして考えています。
それは、成長期だからこそできるサポートがあるからです。

歯が並ぶ前の段階、顎が成長している時期に、
お口の環境を整えてあげることで、
将来の矯正治療の負担を軽くできる可能性があります。
まずは、ご相談だけでも大丈夫です。

矯正治療は、やってみたい気持ちと同じくらい、迷いも出やすいものです。

  • 本当に必要か分からない
  • 痛そうで不安
  • 続けられるか心配
  • 費用がどれくらいになるのか知りたい
  • 子どもは今始めるべきか迷う

当院では、無理に治療をすすめることはしません。
お話を伺い、必要なことだけを、分かりやすくお伝えします。

料金について

矯正治療開始前

矯正相談
無料
精密検査
11,000円
診断料
27,500円

お子様の矯正治療
(混合歯列期|目安〜12歳)

早期治療費
55,000円
I期治療費
330,000円〜440,000円
管理料
5,500円

(1か月〜2.3か月に一度の来院)

成人矯正
(永久歯列期|目安 15歳〜)

部分矯正
165,000円〜
全体矯正
550,000円〜825,000円
診断料
5,500円/回
  • ※インビザライン治療の場合、追加スキャンで費用が発生する場合があります
  • ※コンプリヘンシブプランを除き、11,000円/回
  • (1か月〜2.3か月に一度の来院)

矯正治療終了後
(保定期間|2年〜)

保定装置代金
55,000円
管理料
4,400円

※装置や治療内容により費用は変わります。
カウンセリングで目安をお伝えします。
(1か月〜6か月に一度来院)

期間と通院の目安

  • 通院頻度は月1回程度が目安です。
  • 治療期間は状態や方法により異なります
    まずは検査と診断を行い、あなたに合うペースをご提案します。

よくあるご質問

Q. 痛みはありますか
A. 調整後に違和感が出ることがあります。多くは徐々に慣れていきます。
Q. 目立たない方法はありますか
A. 状態によりご提案できる方法が異なります。
見た目の希望も含めてご相談ください。
Q. 子どもは何歳から相談できますか
A. 歯が生え変わる時期からご相談いただけます。
今すぐ治療が必要かどうかも含めてお伝えします。
Q. 費用が心配で踏み出せません
A. 目安を先にお伝えし、無理のない支払い方法も一緒に考えます。

こんな方におすすめです

質問
  • 千石周辺で、落ち着いて通える矯正歯科を探している
  • 丁寧に説明してくれる医院がいい
  • 女性ドクターに相談したい
  • 子どもの歯並びを早めに相談したい
  • 目立ちにくい矯正も検討したい

アクセス

〒113-0021

東京都文京区本駒込2丁目10-3 ウエスト・ワンビル 3F

TEL:03-5810-1555

access写真